All-Ireland Chromatin Consortium
The All Ireland Chromatin Consortium has run an annual one-day meeting to bring together chromatin researchers from across the island of Ireland since 2022.
The All-Ireland Chromatin Consortium (AICC) is a network of researchers on the Island of Ireland who are linked by interests to investigating all aspects of chromatin mechanisms in disease.
The aims of the AICC are to promote scientific exchange across Ireland and beyond, to foster collaborations between labs, to expand expertise in the area of chromatin biology, and to raise the visibility of Irish chromatin research.
The AICC hosts inspiring webinars by leading international and emerging researchers, and holds an annual conference as an active and dynamic forum for PhD students and Postdocs working on chromatin biology to present and discuss their work and gain state of the art knowledge.
| Date & Time | Wed. May 27, 2026 |
|---|---|
| Location | Conway Institute, UCD |
| Register to talk or poster | Thu. April 16, 2026 |
| Register to attend | Wed. May 20th |
| Cost | Registration including lunch is FREE |


Exclusive 30% Discount* on Monarch Nucleic Acid Purification kits and Luna (RT-)qPCR mixes’
Choose Monarch for uncompromising quality of your nucleic acid purification
Monarch nucleic acid purification kits provide fast and reliable isolation and purification of high quality DNA and RNA from a variety of sample types. Technologies used include best-in-class silica columns, silica‑coated mag beads, or glass‑beads for the isolation of high molecular weight DNA. The resulting nucleic acids are highly pure and ready for sequencing, cloning, PCR, and other enzymatic applications.
The Monarch nucleic acid purification portfolio can serve your needs, whether you are isolating nucleic acids from biological samples, cleaning up DNA and RNA from enzymatic reactions, extracting DNA fragments from gels, or purifying plasmids.
Monarch DNA and RNA kits use purposefully reduced‑plastic columns and bottles and come in compact packaging, providing environmental responsibility without compromising on performance.
Optimize your (RT-)qPCR with Luna
- Convenient master mix and supermix formats and user-friendly protocols simplify reaction setup.
- Non-interfering, visible tracking dye eliminates pipetting errors.
- Formulated with a unique passive reference dye, compatible across a wide variety of thermal cyclers.
- Luna WarmStart RT paired with Hot Start Taq enables room temperature setup and stability.
- 4X option allows for more sample input, increasing sensitivity.
- Available in a lyophilized format.

Webinars and Training

Latest Blog
CD34+ progenitor cells: From blood production to immunity
CD34⁺ hematopoietic progenitor cells (HPCs) are the proliferative intermediates that drive day-to-day renewal of the blood and immune cells. Arising from hematopoietic stem cells, HPCs have limited self-renewal but a robust capacity to expand and differentiate into lineage-restricted myeloid and lymphoid progeny. Read on to learn about the role of CD34⁺ HPCs and other CD34+ populations and how to expand them.

New Products this month from CST!
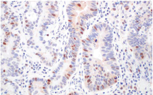
Rad51 (F4L4Y) Rabbit Monoclonal
Antibody #84555

IHC-P: IHC analysis of paraffin-embedded human esophageal carcinoma using #84555.
A key protein in DNA double-strand break repair
Cells sense and repair DNA double-strand breaks (DSBs) through two signaling pathways: non-homologous end joining (NHEJ) and homologous recombination (HR). Rad51 regulates HR by polymerizing filaments along single-stranded DNA through interactions with Rad54 and BRCA2. Five Rad51 paralogs (XRCC2, XRCC3, Rad51B, Rad51C, and Rad51D) exist in vertebrates, and all are thought to be required
for efficient HR. RAD51 is overexpressed in over 20 types of cancer and has been associated with reduced overall survival in at least 10 cancers. It is therefore a promising biomarker for various cancers. #84555 is suitable for WB, IP, and IHC-P using human, mouse, rat, and monkey samples.
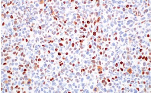
p21 Waf1/Cip1 (F7S9M) Rabbit Monoclonal Antibody #39375

IHC-P: IHC analysis of paraffin-embedded LL/2 syngeneic tumor using #39375.
Tumor suppressor protein p21 Waf1/Cip1
p21 Waf1/Cip1 acts as an inhibitor of cell cycle progression, primarily downstream of the tumor suppressor protein p53. By colocalizing with the CDK2 complex, it inhibits kinase activity and blocks G1/S phase progression. In particular, it is involved in cell cycle arrest upon DNA damage, induction of cellular senescence, promotion of differentia tion, and suppression of apoptosis. Its functions are known to vary depending on its subcellular location. Upon UV-induced DNA damage or during cell cycle stages when cdc2/cyclin B or CDK2/cyclin A are activated, p53 is phosphorylated and positively regulates p21 transcription via p53 response elements. Meanwhile, p21 protein levels arenegatively regulated by ubiquitination and proteasomal degradation.#39375 is suitable for WB, IP, and IHC-P using mouse samples.

New Products This Month from NEB!
Connect With A Product Specialist
Have you got question? We’d love to hear from you…

We’re here for you.
If you have a question or query relating to specialised equipment or products fill out a contact form. Our Industrial Product Specialists are standing by, waiting to speak with you.




